小児歯科について				   
 
			
			 
		お子さんが
また来たいと思えるような
小児歯科の治療を行います
			当院では、子どもの頃からむし歯を予防し、歯を大切にする習慣を身につけてもらいたいと考えています。そのためには、一人ひとりに適した予防と口腔内づくりが必要です。子どもの頃の習慣は、大人になって健康で豊かな人生を送るためにとても大切です。当院は、お子さんが「また来たい」と思ってもらえるよう、笑顔で優しく丁寧な対応を心がけています。
こんな場合はご相談ください
- 
					
						歯を痛がっている 
- 
					
						歯を診てほしい 
- 
					
						歯がグラついている 
- 
					
						フッ素を塗ってほしい 
- 
					
						頬が腫れている 
- 
					
						歯並びが気になる 
 
				当院の小児歯科				   
 
			
			 
		お子さんのことを
第一に考えて
しっかり理解して
もらいながら治療します
			当院では、Tell・Show・Do方針のもと小児歯科の治療を進める方針を取っております。事前にお子さんへ治療内容をお伝えして、実際に使用する機器や器具を見てもらい、これから何をするかしっかり理解してもらってから治療を始めます。緊急時を除き、嫌がっている状態のお子さんに対して、無理やり治療することはありませんのでご安心ください。
 Tell
			
			
				Tell
			
		 Show
			
			
				Show
			
		 Do
			
			
				Do
			
		治療内容
フッ素塗布
 
			シーラント
 
			ブラッシング指導
 
			 
				口腔機能低下症
(不全症)について				   
 
			
			 
		口腔機能低下症と考えられる
お子さんが増えています
			近年、食事中によく噛まない、口をポカンと開けている、発音がはっきりしないなどの症状から、口腔機能低下症と考えられるお子さんが増えています。原因として、やわらかい食べ物中心の食生活や、会話・運動の機会が減っていることなどが挙げられます。これらの状態をそのままにしておくと、将来的な歯並びや発音、全身の発育にも影響する可能性があります。当院では、定期的なチェックに加え、お子さん一人ひとりの状態に合わせたトレーニングや生活指導を行っています。口の機能を育てることは、健やかな成長の土台づくり。少しでも気になることがあれば、早めのご相談をおすすめします。
 
				小児矯正について				   
 
			
			 
		お子さんの
歯並びに関するお悩みは
一度当院へご相談ください
			全身の発育や健康、そして心にまで悪影響を及ぼす可能性があります。歯並びはお子さんの一生を左右する問題でもあるため、できる限り早い時期に解消してあげましょう。そのため現在では小児矯正があり、お子さんの健康を守る役目がある親御さんの理解と協力が大切です。
こんな場合はご相談ください
- 
					
						歯並びが悪い 
- 
					
						将来の歯並びが不安 
- 
					
						出っ歯である 
- 
					
						顎が小さい 
- 
					
						前歯がガタガタ 
- 
					
						口周りの癖がある 
 
				当院の小児矯正				   
 
			
			 
		日本矯正歯科学会認定医が対応する
ハイクオリティな矯正治療
			お子さんの矯正治療をお考えのかたにとって、しっかり歯並びを改善させるために歯科医院選びは大切です。当院に在籍する歯科医師は、矯正分野で国内最大規模の日本矯正歯科学会に所属しており、その中でも専門性の高い医師だけがなれる認定医を取得しています。多くの経験と専門的な知識を活かし、お子さんに適した治療をご提供いたします。
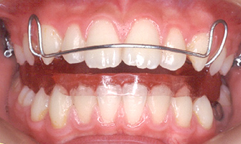
装置の種類
拡大症
 
			チンキャップ
 
			バイオネーター
 
			 
				費用				   
 
			
			料金表
| 相談料 | ただいま準備中です | 
|---|---|
| 精密検査料 | ただいま準備中です | 
| Ⅰ期治療 | ただいま準備中です | 
| Ⅱ期治療 | ただいま準備中です | 
| 調整費・管理費 | ただいま準備中です | 
※表示金額は全て税込みです。
お支払方法
			当院では、下記の
お支払方法が可能です。
		
- 現金
- 現金でのお支払い
- 銀行振込
- 振込でのお支払い
- クレジットカード
- ※自費診療のみ
 VISA/JCB/
 Mastercard/など
- デンタルローン
- 低金利分割払いでの
 お支払い
医療費控除について
1年間(1月1日~12月31日)に10万円以上の医療費を支払った場合は、医療費控除によって一定の金額の所得控除を受けることができます。ご自身の支払いに限らず、生計を共にするご家族が支払った医療費も対象となります。詳しくは国税庁のホームページをご覧ください。
 
				注意点・リスク・副作用				   
 
			
			・治療の初期段階では痛みや不快感が生じやすくなりますが、1週間前後で慣れます。
・歯の動き方には個人差があるため、予想された治療期間より延長する場合があります。
・装置の使用状況や定期的な通院など、患者さんの協力程度で治療の結果や期間に影響します。
・矯正装置装着時は、歯みがきがしにくくなるためむし歯や歯周病のリスクが高まります。
・歯を動かすことで歯根が吸収して短くなったり、歯ぐきが下がったりすることがあります。
・稀に歯が骨と癒着していて歯が動かなくなったり、歯の神経が障害を受けたりすることがあります。
・装置を外す時に、歯の表面に小さな亀裂が入る可能性や、補綴物の一部が破損する可能性があります。
・装置が外れた後に、保定装置を使用しないと後戻りが生じる可能性が高くなります。
・矯正治療は一度始めると元の状態に戻すことは難しくなります。