セラミック・
審美治療について				   
 
			
			 
		口元をより美しく仕上げたいかたは
ぜひ当院までご相談ください
			当院では、健やかな口もとを得るためには、見た目の美しさも大切な要素の一つだと考えています。被せ物や歯の形状が気になり会話を楽しめないなど、審美性に関してお悩みのかたはぜひお気軽にご相談ください。美味しく食べることができて笑顔に自信が持てる、より多くの楽しい時間が過せるようにご提案いたします。
こんな場合はご相談ください
- 
					
						むし歯を治療した 
- 
					
						詰め物が変色した 
- 
					
						詰め物が取れた 
- 
					
						見た目にこだわりたい 
- 
					
						銀歯が目立つ 
- 
					
						二次むし歯を防ぎたい 
 
				当院のセラミック・
審美治療				   
 
			
			 
		院内技工所や
セレックシステムを活用した
精度の高い審美治療
			当院は院内技工所を併設している歯科医院であり、セラミック・審美治療において院内での作製や調整が可能です。患者さんの口腔内の情報をそのまま反映できるため、精度高く詰め物・被せ物を用意いたします。セレックシステムも導入しておりますので、二次むし歯のリスクが少ないものを短期間でご提供させていただきます。
 
			治療後も
安心の保証制度を導入
				当院では審美治療を受けていただいた患者さんに対して、治療後に保証制度を設けています。詰め物・被せ物が外れてしまった、破損してしまった、違和感があるなどのトラブルは一度当院までお問い合わせください。トラブル箇所の調整など対応させていただきます。
詰め物・被せ物の種類
オールセラミック
 
				セラミッククラウン
 
				セラミックインレー
ジルコニア
e-max
			メタルセラミック
(メタルボンド)
		
		 
				ダイレクトボンディング
について				   
 
			
			 
		すきっ歯や歯の欠けなどのお悩みは
ダイレクトボンディングが
おすすめです
			レジンとプラスチックの混合物を用いて、歯の表面に塗り重ねていく治療をダイレクトボンディングと言います。すきっ歯や欠けた歯の修復、および歯の形を整えたい場合などに用いられる方法です。ダイレクトボンディングは歯を削る量が少なく、短時間で自然な見た目を再現できるメリットがありますので、気になるかたはぜひ一度ご相談ください。
こんな場合はご相談ください
- 
					
						前歯に隙間がある 
- 
					
						歯の形が気になる 
- 
					
						歯が欠けた 
- 
					
						歯を削りたくない 
- 
					
						詰め物が変色した 
- 
					
						自然な見た目にしたい 
 
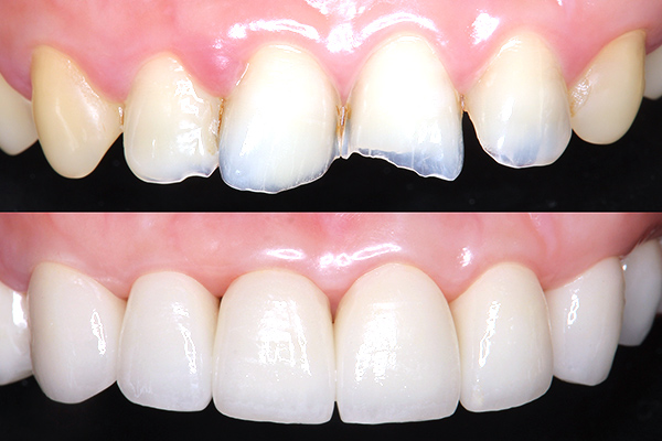
				症例				   
 
			
			 
				費用				   
 
			
			料金表
審美補綴
詰め物(インレー)
| e-maxインレー | 55,000円 | 
|---|---|
| ジルコニアインレー | 55,000円 | 
| ジルコニアボンド | 121,000円 | 
| ジルコニアクラウン(グラデーション) | 99,000円 | 
| ジルコニアクラウン(単色) | 88,000円 | 
| メタルボンド | 99,000円 | 
※表示金額は全て税込みです。
ダイレクトボンディング
| 臼歯1級窩洞 | 22,000円 | 
|---|---|
| 小臼歯2級窩洞 | 27,500円(MOD3,300円プラス) | 
| 大臼歯2級窩洞 | 33,000円(MOD3,300円プラス) | 
| 臼歯アンレー窩洞 | 38,500円 | 
| 前歯3級、4級窩洞 | 27,500円 | 
| 前歯歯冠離開 | 27,500円/本 (前歯の隙間は2本から) (2本の場合55,000円) | 
| ダイレクトクラウン | 44,000円 | 
※表示金額は全て税込みです。
お支払方法
			当院では、下記の
お支払方法が可能です。
		
- 現金
- 現金でのお支払い
- 銀行振込
- 振込でのお支払い
- クレジットカード
- ※自費診療のみ
 VISA/JCB/
 Mastercard/など
- デンタルローン
- 低金利分割払いでの
 お支払い
医療費控除について
1年間(1月1日~12月31日)に10万円以上の医療費を支払った場合は、医療費控除によって一定の金額の所得控除を受けることができます。ご自身の支払いに限らず、生計を共にするご家族が支払った医療費も対象となります。詳しくは国税庁のホームページをご覧ください。
 
				注意点・リスク・副作用				   
 
			
			<補綴治療>
・歯の形や噛み合わせを元通りにする治療ではありません。
・新しい噛み合わせに慣れるまでに時間がかかることがあります。
・補綴材料によってはアレルギーが出ることがあります。
・強い衝撃がかかると割れる可能性があります。